Barta S Precision Granite

Bartas Home

Bartas Home

Barta S Precision Granite Surface Plate Company Profile Office Locations Competitors Revenue Financials Employees Key People Subsidiaries Craft Co

Barta S Precision Granite Surface Plate Company Profile Office Locations Competitors Revenue Financials Employees Key People Subsidiaries Craft Co

Http Www Bartas Com Index Htm Files 2525 01 Pdf

Http Www Bartas Com Index Htm Files 2525 01 Pdf

Practical Machinist Largest Manufacturing Technology Forum On The Web

Practical Machinist Largest Manufacturing Technology Forum On The Web

G146568 Precision Granite Co 18 X12 X3 Granite Surface Plate Grade B Vintage Games Granite Soundlink Mini

G146568 Precision Granite Co 18 X12 X3 Granite Surface Plate Grade B Vintage Games Granite Soundlink Mini

The Characteristics Of Granite Mechanical Components Abrasion High Temperature Resistant Maintenance Physical Sta Surface Table Granite Precision Measuring

The Characteristics Of Granite Mechanical Components Abrasion High Temperature Resistant Maintenance Physical Sta Surface Table Granite Precision Measuring

The Characteristics Of Granite Mechanical Components Abrasion High Temperature Resistant Maintenance Physical Sta Surface Table Granite Precision Measuring

Https Onlinelibrary Wiley Com Doi Pdf 10 1111 Bjh 15772

Https Onlinelibrary Wiley Com Doi Pdf 10 1111 Bjh 15772

Deformation Band Formation As A Function Of Progressive Burial Depth Calibration And Mechanism Change In The Pannonian Basin Hungary Sciencedirect

Deformation Band Formation As A Function Of Progressive Burial Depth Calibration And Mechanism Change In The Pannonian Basin Hungary Sciencedirect

Chronic Myeloid Leukemia Bcr Abl1 Positive Springerlink

Chronic Myeloid Leukemia Bcr Abl1 Positive Springerlink

Polymers Free Full Text Synthesis Of A Novel Spirocyclic Inflatable Flame Retardant And Its Application In Epoxy Composites Html

Polymers Free Full Text Synthesis Of A Novel Spirocyclic Inflatable Flame Retardant And Its Application In Epoxy Composites Html

Effects Of Pore Structures On The Dielectric Properties Of Silicon Nitride Based Ceramics Sciencedirect

Effects Of Pore Structures On The Dielectric Properties Of Silicon Nitride Based Ceramics Sciencedirect

Https Academic Oup Com Biolinnean Article Pdf 113 3 694 25193466 Bij12293 Pdf

Https Academic Oup Com Biolinnean Article Pdf 113 3 694 25193466 Bij12293 Pdf

Closed Porosity Ceramics And Glasses Vakifahmetoglu 2020 Journal Of The American Ceramic Society Wiley Online Library

Closed Porosity Ceramics And Glasses Vakifahmetoglu 2020 Journal Of The American Ceramic Society Wiley Online Library

Pdf Composition And Techniques Of The Ticinese Stucco Decorations From The 16th To The 17th Century Results From The Analysis Of The Materials

Pdf Composition And Techniques Of The Ticinese Stucco Decorations From The 16th To The 17th Century Results From The Analysis Of The Materials

Hendrik Jan Ankersmit S Research Works Aposcience Ag Vienna And Other Places

Hendrik Jan Ankersmit S Research Works Aposcience Ag Vienna And Other Places

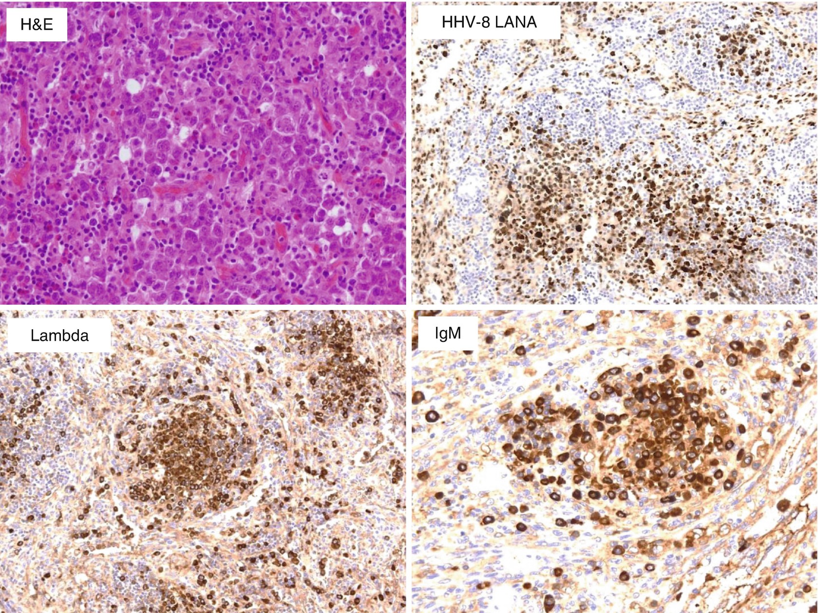
Cd20 Negative Aggressive Lymphomas Springerlink

Cd20 Negative Aggressive Lymphomas Springerlink

Morphological And Isotopic Study Of Pedogenic Carbonate Coatings From Steppe And Forest Steppe Areas Of Baikal Region South Eastern Siberia Sciencedirect

Morphological And Isotopic Study Of Pedogenic Carbonate Coatings From Steppe And Forest Steppe Areas Of Baikal Region South Eastern Siberia Sciencedirect

Geosciences Free Full Text Applications Of Geophysical Surveys For Archaeological Studies In Urban And Rural Areas In Czech Republic And Armenia Html

Geosciences Free Full Text Applications Of Geophysical Surveys For Archaeological Studies In Urban And Rural Areas In Czech Republic And Armenia Html

Cancers Free Full Text Role Of Sox Protein Groups F And H In Lung Cancer Progression Html

Cancers Free Full Text Role Of Sox Protein Groups F And H In Lung Cancer Progression Html

Https Www Sciencedirect Com Science Article Pii B9780444987556500094 Pdf Md5 C358d4940a4b168ce83a0e3b38b7069d Pid 1 S2 0 B9780444987556500094 Main Pdf

Https Www Sciencedirect Com Science Article Pii B9780444987556500094 Pdf Md5 C358d4940a4b168ce83a0e3b38b7069d Pid 1 S2 0 B9780444987556500094 Main Pdf

Clumped Isotope Paleotemperatures From Mis 5 Soil Carbonates In Southern Hungary Sciencedirect

Clumped Isotope Paleotemperatures From Mis 5 Soil Carbonates In Southern Hungary Sciencedirect

Pdf A Review On Renewable Energy And Electricity Requirement Forecasting Models For Smart Grid And Buildings

Pdf A Review On Renewable Energy And Electricity Requirement Forecasting Models For Smart Grid And Buildings

Differential Effects Of Trisomy On Brain Shape And Volume In Related Aneuploid Mouse Models Abstract Europe Pmc

Differential Effects Of Trisomy On Brain Shape And Volume In Related Aneuploid Mouse Models Abstract Europe Pmc

Https Brill Com Downloadpdf Book 9789004229334 B9789004229334 S009 Xml

Https Brill Com Downloadpdf Book 9789004229334 B9789004229334 S009 Xml

Pdf The What How And Why Of Human Coprolite Analysis In Archaeology

Pdf The What How And Why Of Human Coprolite Analysis In Archaeology

Source : pinterest.com